
新闻动态
联系我们
陕西依科生物技术服务有限公司首页 > 实验问题解答 > 云南TRAP染色实验步骤
陕西依科生物技术服务有限公司免费为您提供{云南免疫组化},{云南免疫荧光},{云南眼球组织切片}等一些相关信息的展示发布,请您关注本站!
一、实验原理
酸性磷酸酶(acid phosphatase,ACP)分布极广泛,遍布各种组织,主要存在于细胞的溶酶体内,所以常作为溶酶体标志酶。溶酶体外的酸性磷酸酶存在于内质网和胞质内。各种动物中的酸性磷酸酶各有不同, 酸性磷酸酶的适宜pH 为4.5-5.5。存在于正常人肺泡巨噬细胞和白血病人脾脏的抗酒石酸酸性磷酸酶 (Tartrate-resistnt acid phosphatase,TRAP)均在细胞滤泡中,并不是释放入血液。血液中的TRAP 绝大多数 来源于破骨细胞,因此可以通过测量血液中的TRAP 了解破骨细胞的功能状态。
抗酒石酸酸性磷酸酶染色以萘酚AS-BI为底物,在酸性pH下被酸性磷酸酶水解释放出磷酸和萘酚,萘酚与重氮盐偶联生成有色产物,定位于细胞质中,若细胞内的ACP 有抗酒石酸的活性,则呈阳性反应。
二、TRAP染色实验步骤
1.云南石蜡切片脱蜡至水:依次将切片放入二甲苯Ⅰ8min-二甲苯Ⅱ8min-无水乙醇Ⅰ 6min-无水乙醇Ⅱ6min-95%酒精 6min-85%酒精 6min-75%酒精 5min-流水冲洗;
2.自然晾干, TRAP 固定液2-8℃固定30s-3min, 多数情况下30-60s即可;
3.水洗,稍微晾干(不宜过分干燥)。
4.切片入TRAP 孵育液,置于37℃温箱,浸染45-60min,水洗。
5.复染:苏木素染色液染色5-8min,分化液分化3-5s 。
6. 水洗、脱水、透明、云南中性树胶封片。
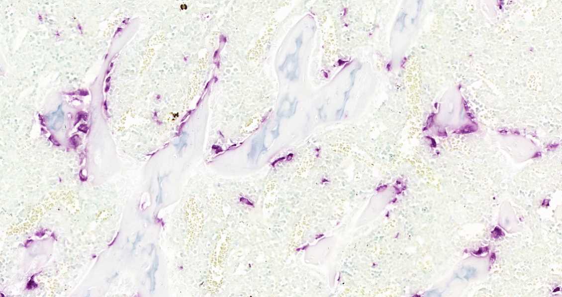
三、染色结果判读:阳性颗粒呈紫红色,细胞核呈蓝色或绿色。
临床意义:
1、 毛细胞白血病的毛细胞ACP 染色呈强阳性或中度阳性,且不被酒石酸抑制,其他细胞均呈阴性或极 弱阳性。
2、 急性白血病幼单核细胞ACP 染色呈阳性,原淋巴细胞呈弱阳性,原粒细胞对ACP 反应不一。
3、T 淋巴细胞 ACP 染色呈阳性,颗粒粗大、分布密集。 B 淋巴细胞呈阴性或颗粒细小的弱阳性。
4、 戈谢细胞呈强阳性,尼曼-皮克细胞呈阴性或弱阳性。
注意事项:
1、TRAP孵育液易失效,本法宜用皮肤穿刺血涂片,晾干后应及时染色
2、 对云南冰冻切片染色时,应减少切片在室温暴露的时间。
3、 样本需新鲜,取材后应立即处理,否则会影响酶的活性。
4、 组织固定需在2-8℃冰箱进行,时间不宜超过24h, 否则酶活性会减弱或消失。
5、 组织在石蜡包埋时,温度不宜高于56℃。应使用熔点为52-52-8℃的石蜡进行浸蜡,浸蜡时间要短, 否则酶活性会减弱或消失。
6、 不纯的二甲苯会分解黑色沉淀,宜选用AR 级以上的二甲苯。
7、 为了您的安全和健康,请穿实验服并戴一次性手套操作。
实验结果展示

{陕西依科生物技术服务有限公司}口碑怎么样?{云南免疫组化}哪里好?{云南免疫荧光}找哪家?陕西依科生物技术服务有限公司专业从事{生物科研试剂的研发、销售及相关技术服务}