染色机制:维多利亚蓝的主要成分为含有丰富二硫键的糖蛋白,又称弹性蛋白,强嗜酸性易与染色液中的碱基结合,特异性着染弹力纤维,胶原纤维一般不着色。用于心内膜弹性纤维异常增值和高血压小动脉壁增厚等显示。
一、弹力纤维weigert染色详情介绍:弹性纤维(Elastic Fiber)又称弹力纤维主要分布于人体的动脉壁、肺泡壁、皮肤,新鲜时呈黄色,折光性强。苯二酚碱性品红染色(又称Weigert酚复红染色)主要用于弹性纤维染色,可能机制是弹性纤维中某些部分与间苯二酚的酚基形成氢键而使弹力纤维被染成蓝色至蓝黑色。
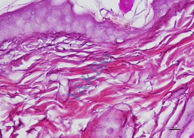
二、实验图片展示

三、实验流程:
1. 云南石蜡切片脱蜡至水:依次将切片放入二甲苯Ⅰ8min-二甲苯Ⅱ8min-无水乙醇Ⅰ 6min-无水乙醇Ⅱ6min-95%酒精 6min-85%酒精 6min-75%酒精 5min-流水冲洗;
2. 入Weigert氧化剂氧化3min;
3. 自来水稍洗;入Weigert漂白剂,漂白3min,流水冲洗5-10min;
4. 切片入装有Weigert碱性品红染液的染缸中,浸染(加盖)常温1-3h,或56℃下1h;
5. 用酸性分化液分化至无染液脱下,约2-3s。流水冲洗10min;
7. 迅速用水洗一下,立刻用95%的乙醇快速分化;
8. 无水乙醇脱水,二甲苯透明;
9. 中性树脂封片。
四、染色结果判读:弹力纤维蓝色至紫黑色;胶原纤维红色;肌纤维和红细胞黄色。